陽明交大研究: 癌細胞具抗壓性 治療壓力助其避免疫攻擊
2026 年 1 月 14 日

研究團隊成員,臨床醫學研究所賴冠甄同學(左),楊慕華教授(中),邱柏憲博士(右)。照:國立陽明交通大學提供
免疫療法因重大貢獻獲得諾貝爾醫學獎,被視為癌症治療的新希望。然而最新研究顯示,癌細胞可不是爛草莓。在治療壓力下,它們反而會展現抗壓性,成功躲過免疫系統的追擊。
頭頸癌患者在接受標靶治療後,再接續免疫療法時,常常無法達到預期療效。研究團隊深入解析後揭露了一個關鍵原因:長期標靶治療帶來的「治療壓力」會讓癌細胞提高警覺,加速重塑腫瘤微環境,甚至主動關閉原本用來啟動免疫細胞的訊息通路,讓免疫療法失去效果。
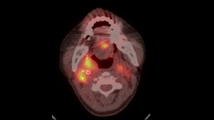
頭頸癌患者的正子攝影,黃色亮部為腫瘤顯影。圖中顯示長期標靶治療帶來的治療壓力,會讓癌細胞提高警覺,接續的免疫療法反而成效不如預期。照:國立陽明交通大學提供
造成癌細胞「抗壓性」的核心機制在於,當腫瘤長期受到標靶藥物壓制時,會分泌大量發炎因子 TNF-α,進而干擾 STAT1—這個原本負責啟動干擾素抗腫瘤基因的關鍵因子,形成所謂的「干擾素疲乏」(IFN-γ fatigue),讓免疫細胞對癌細胞的攻擊能力逐漸喪失。本論文的成果發表於 《Cell Reports Medicine》。
無獨有偶,研究團隊與中央研究院洪明奇院士合作、發表於《Advanced Science》的另一項研究,也揭露癌細胞會分泌一種名為RNase1的酵素,主動抑制T細胞等免疫細胞活性。這一機制在乳癌、肝癌、頭頸癌等多種癌別中皆被觀察到,顯示RNase1是跨癌別的重要免疫逃脫因子。
兩項研究共同描繪出一個清晰的圖像,癌細胞會「因壓力而成長」,不只被動抵抗,更會主動學習如何生存。他們一方面自行分泌蛋白削弱免疫攻擊,另一方面在治療壓力下反而更提高警覺,重新改寫免疫療法的訊號通路,展現出驚人的適應力。
不過儘管如此,瞭解這些癌細胞適者生存的方法,也讓醫師在治療排序、組合療法與生物標記選擇上提供重要依據。
楊慕華老師表示,免疫治療是癌症治療的重要里程碑,但如何克服抗性、提升療效仍是臨床最大挑戰。瞭解腫瘤在治療壓力下的適應性變化,未來可望透過生物標記導引治療順序與組合策略,提升免疫治療的成功率。



